ホワイトニング
白く輝く歯を手に入れる! ホワイトニング

- 「白くて輝く歯にしたい」
- 「人前で歯のことを気にせず
思いっきり笑いたい」
このような願いを叶えるには「ホワイトニング」がお勧めです。 ホワイトニングは、薬剤で歯を白くする施術で、歯の表面を傷つけることなく歯の中にある色素を分解して明るさを上げていき、歯を白く美しくすることができます。歯を削るようなことは一切行いません。なお、ホワイトニングの種類は「オフィスホワイトニング」「ホームホワイトニング」の2つに分けられます。
当院ではホームホワイトニングによる治療をおこなっています。
ホームホワイトニング
ご自宅で行うホワイトニングのことです。歯科医院であなたに合ったマウストレーを作製し、 専用の薬剤を塗布したものを装着して歯を白く改善します。 就寝時はもちろん、テレビを観ている時など好きなときに装着します。 効果が実感できるようになるまで時間はかかりますが、その分後戻りが遅いのが特徴です。 コストを抑えたい方にお勧めです。
| ホームホワイトニングの特徴 |
|---|
|
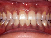
ホームホワイトニングの治療例

術前

術後
歯科医院でマウストレーを作製し、その中に薬剤を入れて使用します。 基本的に就寝時にトレーをはめていただき、漂白します。効果・期間は個人差があります。
料金表
| ホームホワイトニング | 5,400円(税込み) |
施術の流れ
| 初日 | ①カウンセリング ②同意書にサインをされた方は、その日に歯の写真撮影をして歯の色の記録をとる。 ホーム、デュアルはホームホワイトニングのトレー作成のための型取り。 5,400円を頂く。 |
|---|---|
| 2回目 | 歯のクリーニングを行い、ホームトレーについて使用方法の説明。 2~3週間後に効果を確かめ、写真撮影を行う。必要な方にはさらに 高濃度の15%の薬液を購入するか相談。 |
| 3回目 | 希望があれば2~3週間後に再度色の変化を写真を使って比較していく。 |
| 4回目 | 希望により継続 |
ホワイトニングの効果には個人差があります。また、ホワイトニングはカウンセリングを行ってから施術の日時を設定しております。即日の施術ではありませんので、日程には余裕を持ってご予約下さい。
ブライダルに・・・

最近ではブライダルの前にホワイトニングをされる方が増えております。その他さまざまの記念日など特別な日には白く爽やかな笑顔で向かえられてはいかかでしょうか?
そのようなご相談は随時行っておりますので、お気軽にご連絡下さい。